Nguyên nhân, biểu hiện và cách khắc phục thiếu sản men răng tốt nhất
Thiếu sản men răng khiến cho răng trở nên yếu đi. Răng dễ bị kích thích, tổn thương bởi những tác động ở bên ngoài. Tìm hiểu những cách khắc phục thiếu sản men răng hiệu quả giúp cho răng bạn được chắc khỏe mỗi ngày.
Cách khắc phục thiếu sản men răng
Thiếu sản men răng – Nguyên nhân và triệu chứng
Theo nhận định của các chuyên gia nha khoa, thiếu sản men răng là một dạng bệnh lý răng miệng. Sự thiếu hụt hay xáo trộn các thành phần chủ yếu trong men răng như canxi và fluor khi vừa sinh ra hay trong quá trình chăm sóc răng miệng.
Nguyên nhân gây nên tình trạng thiếu sản men răng là do:
– Sự thiếu hụt các loại dưỡng chất cần thiết như vitamin A, D và vitamin C
– Trong thời gian mang thai, người mẹ không bổ sung dinh dưỡng đầy đủ khiến việc manh nha mọc răng của trẻ bị thiếu hụt chất cần thiết là flour và canxi dẫn đến bệnh thiếu sản men răng
– Với cách sử dụng các thực phẩm không hợp lý, sử dụng quá nhiều thực phẩm gây hại men răng. Chăm sóc, vệ sinh răng miệng chưa đúng cách
– Do nuốt nhầm phải hoạt chất Flour
Một số vấn đề gặp phải trong cách chăm sóc răng miệng hằng ngày
Các biểu hiện chủ yếu của bệnh như sau:
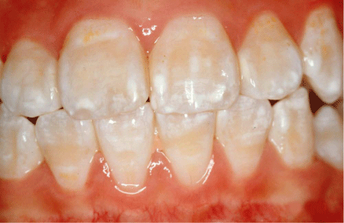
– Bề mặt răng biến đổi màu, xuất hiện các đốm màu trắng mờ đục. Với mức độ thiếu sản men răng khác nhau đốm màu này tăng dần sắc độ từ trắng, vàng trắng cho đến nâu
– Men răng bị đổi màu sang nâu nhẹ và có các vệt lõm trên bề mặt thân răng
– Răng dễ bị kích thích bởi các thực phẩm nóng lạnh và răng có cảm giác ê buốt
– Men răng bị mòn dần và làm lộ lớp ngà răng ở bên trong
– Thiếu sản men răng khiến cho răng trở nên yếu đi. Răng dễ mắc phải các bệnh về răng miệng như sâu răng, viêm nha chu,…
Dấu hiệu của thiếu sản men răng
Cách khắc phục thiếu sản men răng hiệu quả
Để khắc phục thiếu sản men răng bạn có thể thực hiện việc bổ sung, bồi đắp thêm men răng bằng các loại như muối ăn, sử dụng các sản phẩm thuốc và đắp thêm men răng bằng hàn trám răng thẩm mỹ. Tuy nhiên, theo đánh gia và phân tích của những chuyên gia nha khoa, các phương pháp này không được sử dụng và duy trì được kết quả ổn định trong thời gian dài.
Đối với những tình trạng răng đã bị mòn gây lộ ngà răng, răng xuất hiện các đốm màu hay bị sâu răng các phương pháp này không thể giúp khắc phục thiếu sản men răng hoàn toàn.
Các bác sĩ nha khoa đưa ra giải pháp hiệu quả cho bạn trong trường hợp thiếu sản men răng là phương pháp bọc răng sứ thẩm mỹ. Ngoài việc tạo nên một lớp bảo vệ bên ngoài cho răng, bọc răng sứ còn cải thiện được tốt nhất tình trạng răng bị nhiễm màu và các vệt lõm trên thân răng làm tăng thêm tính thẩm mỹ cho hàm răng của bạn.
Có nhiều khách hàng tìm đến Nha khoa Quốc tế Dencos Luxury với tình trạng răng bị đốm và đổi màu nghiêm trọng và được thực hiện dịch vụ bọc răng sứ thẩm mỹ. Họ cũng không khỏi ngạc nhiên vì vấn đề khiến họ tự ti, lo ngại bấy lâu lại được giải quyết nhanh và kết quả tốt đến thế.
Xin mời khách hàng tham khảo một số hình ảnh của phương pháp bọc răng sứ ngay dưới đây:
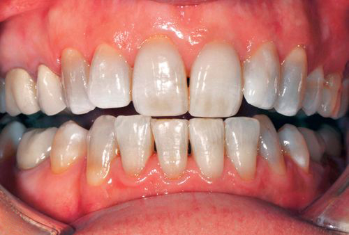
Kết quả bọc răng sứ khắc phục bệnh thiếu sản men răng
(Lưu ý: Kết quả tùy thuộc cơ địa mỗi người)
Khắc phục thiếu sản men răng bằng phương pháp bọc răng sứ thẩm mỹ là giải pháp vẹn toàn để ngăn chặn được những tác động bên ngoài gây hại men răng. Tránh cho răng càng ngày càng tổn thương và mang lại tính thẩm mỹ tốt nhất.

TÌM HIỂU THÊM :
Ưu điểm của răng sứ Cercon – Điểm cộng khiến nhiều người lựa chọn
Cảnh báo: Đừng ham bọc răng sứ giá rẻ nếu như chưa tìm hiểu kĩ càng
Nguồn: http://bocrangsuthammy.info/
Dịch vụ nổi bật
Chuyên gia tư vấn
- Bọc răng sứ loại nào tốt nhất và Bền nhất hiện nay?
- Bọc răng sứ là gì ? - Quy trình được thực hiện như thế nào ?
- Bọc răng sứ có đau không? - Tư vấn từ chuyên gia nha khoa
- Các bước trong quy trình bọc răng sứ thẩm mỹ - An toàn chuẩn Bộ Y tế
- Chi phí bọc răng sứ bao nhiêu tiền? - Mức chi phí rẻ nhất tại Hà Nội
- Răng sứ có tuổi thọ bao lâu và sử dụng được bao lâu bạn có biết?
Tin nha khoa liên quan
- Giúp bạn giải mã câu hỏi bệnh nha chu có lây không
- Hình ảnh bọc răng sứ đẹp được cập nhật hàng ngày
- Tìm kiếm lời giải cho câu hỏi: Cạo vôi răng ở đâu tốt?
- Bị Mẻ Răng Cửa Có Trám Được Không? – Tư vấn từ BS nha khoa
- 5 cây thuốc chữa sâu răng bạn nên tận dụng ngay
- Viêm nha chu điều trị thế nào để bệnh không tái phát?


























Ý kiến khách hàng:
Nếu bạn có bất kỳ thắc mắc nào. Đừng ngần ngại gửi câu hỏi, thắc mắc cho chúng tôi. Chúng tôi sẽ tư vấn giúp bạn trong thời gian sớm nhất. Hoặc liên hệ HOTLINE: 0902.68.5599 để được tư vấn nhanh nhất