Tin tức
Những tin tức mới nhất về dịch vụ bọc răng sứ thẩm mỹ cập nhật liên tục mỗi ngày tại đây, các tin tức liên quan tới chuyên gia bọc răng sứ, công nghệ bọc răng sứ, giá bọc răng sứ….. XEM tại đây
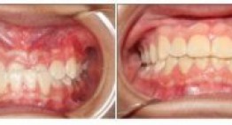
Bạn nên thực hiện bọc răng sứ cho răng móm ngay hôm nay!
Bọc răng sứ cho răng móm không chỉ khắc phục được tình trạng móm răng mà còn cải thiện màu sắc, hình thái răng chưa đẹp, mang lại giá trị thẩm mỹ cao mà còn tiết kiệm thời gian (thực hiện nhanh, kết quả bền vững). Chính bởi lẽ đó, bạn nên áp dụng phương pháp này ngay ...
Chỉ nha khoa nào tốt và được ưa chuộng nhất hiện nay?
Sự ra đời của chỉ nha khoa với những ưu điểm vượt trội đang được khuyến khích sử dụng thay thế răng truyền thống. Chỉ nha khoa giúp loại bỏ sạch những mảng bám, vụn thức ăn mà việc đánh răng hay súc miệng không thể làm sạch được. Vậy chỉ nha khoa loại nào tốt và được ...
Ngủ nghiến răng là bệnh gì? Nguyên nhân nào gây ra bệnh nghiến răng?
Câu hỏi: Chào bác sỹ nha khoa, không hiểu sao gần đây khi ngủ chồng em rất hay nghiến răng. Tiếng nghiến răng ken két khiến em rất khó chịu và mất ngủ. Bác sỹ có thể cho em hỏi ngủ nghiến răng là bệnh gì và nguyên nhân nào gây ra bệnh này được không ạ? Mong ...
Bọc răng sứ có hết hô không? – Chuyên gia nha khoa tư vấn
Câu hỏi: Chào bác sĩ nha khoa. Năm nay em 31 tuổi, răng hàm trên bị hô. Em mặc cảm từ khi còn bé vì hay bị bạn bè trêu chọc, bây giờ có điều kiện kinh tế hơn, em muốn làm đẹp cho hàm răng. Em có nghe bọc răng sứ sẽ cải thiện tình trạng này. ...
Mất 1 răng có thể trồng răng bằng cách nào? – Phục hình răng hiệu quả
Mất răng không những làm ảnh hưởng đến tính thẩm mỹ của hàm răng mà còn về chức năng ăn nhai của răng. Mất 1 răng có thể trồng răng bằng cách nào là câu hỏi được rất nhiều khách hàng quan tâm. Hãy cùng tìm hiểu cụ thể trong bài viết sau đây nhé. MẤT 1 RĂNG CÓ ...
Bọc sứ răng cửa giá bao nhiêu là chuẩn hiện nay?
Bọc sứ răng cửa giá bao nhiêu? Việc sở hữu hai chiếc răng cửa xấu xí, mất thẩm mỹ khiến bạn thiếu tự tin về nụ cười của mình. Bọc răng sứ cho răng cửa thường là sự lựa chọn của rất nhiều khách hàng. Vậy chi phí bọc răng sứ răng cửa bao nhiêu là chuẩn nhất ...
Kỹ Thuật Bọc Răng Sứ Chuẩn Xác Cho Kết Quả Thẩm Mỹ Vừa Ý
Kỹ thuật bọc răng sứ tại nha khoa Quốc tế Dencos Luxury được thực hiện với chuyên gia trên 15 năm kinh nghiệm. Các thiết bị hỗ trợ hiện đại. Cùng với Labo chế tác răng sứ tại chỗ mang đến nhiều khác biệt vượt trội mà hiếm có nha khoa nào có được. Cùng tìm hiểu ngay! KỸ ...
Chữa hôi miệng ở đâu an toàn – hiệu quả – không tái phát
Bạn đang khổ sở với hơi thở có mùi hôi? Bạn đã tìm đủ mọi cách những vẫn không thoát ra được tình trạng này? Hôi miệng không chỉ khiến bạn mất tự tin trong giao tiếp mà còn là một bệnh lý cần được điều trị triệt để. Vậy, chữa hôi miệng ở đâu an toàn, hiệu ...
Điểm mặt những nhược điểm của bọc răng sứ thẩm mỹ
Thực tế cho thấy bất kì phương pháp làm đẹp răng nào cũng có ưu - nhược điểm cụ thể, bọc sứ không phải là ngoại lệ. Cùng tìm hiểu rõ ràng ưu - nhược điểm của bọc răng sứ qua bài viết này để có quyết định sáng suốt nhất. BỌC RĂNG SỨ THẨM MỸ LÀ GÌ? Bọc răng ...
Bọc răng sứ công nghệ cao: Răng khỏe mạnh, sáng rạng ngời
Bọc răng sứ công nghệ cao hiện đang là dịch vụ thẩm mỹ nha khoa nhận được rất nhiều sự quan tâm của khách hàng ở nhiều độ tuổi khác nhau. Đây là phương pháp khắc phục tối đa mọi khuyết điểm về răng giúp bạn tự tin tỏa sáng với nụ cười đáng tự hào. AI CÓ THỂ ...
Chia sẻ bài viết:
Dịch vụ nổi bật
Chuyên gia tư vấn
- Bọc răng sứ loại nào tốt nhất và Bền nhất hiện nay?
- Bọc răng sứ là gì ? - Quy trình được thực hiện như thế nào ?
- Bọc răng sứ có đau không? - Tư vấn từ chuyên gia nha khoa
- Các bước trong quy trình bọc răng sứ thẩm mỹ - An toàn chuẩn Bộ Y tế
- Chi phí bọc răng sứ bao nhiêu tiền? - Mức chi phí rẻ nhất tại Hà Nội
- Răng sứ có tuổi thọ bao lâu và sử dụng được bao lâu bạn có biết?
Tin nha khoa liên quan
- Răng giả dùng được bao lâu? Thời gian cụ thể cho từng loại
- Địa chỉ làm răng sứ UY TÍN – Đẹp, giá rẻ & tốt nhất tại Hà Nội
- Bị Mẻ Răng Cửa Có Trám Được Không? – Tư vấn từ BS nha khoa
- Chi tiết quy trình bọc răng sứ chuẩn An toàn của Bộ Y tế
- Bọc răng sứ thẩm mỹ khắc phục tình trạng răng bị mòn mặt nhai
- Cạo vôi răng giá bao nhiêu tiền, chi phí lấy cao răng bao nhiêu là hợp lý?





























