Tin tức
Những tin tức mới nhất về dịch vụ bọc răng sứ thẩm mỹ cập nhật liên tục mỗi ngày tại đây, các tin tức liên quan tới chuyên gia bọc răng sứ, công nghệ bọc răng sứ, giá bọc răng sứ….. XEM tại đây
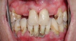
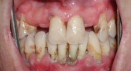
Viêm nha chu điều trị thế nào để bệnh không tái phát?
Viêm nha chu là một trong những bệnh phổ biến trong các bệnh lý răng miệng, xảy ra chủ yếu ở người trưởng thành. Bệnh viêm nha chu điều trị thế nào luôn dành được sự quan tâm lớn của đông đảo người bệnh. Hãy cùng bác sỹ Nha khoa Quốc tế Dencos Luxury tìm hiểu cụ thể ...
Cảnh Báo: Trường hợp Không Nên Bọc Răng Sứ Thẩm Mỹ < Xem ngay
Mặc dù bọc răng sứ thẩm mỹ là giải pháp "thiên biến vạn hóa", có khả năng khắc phục nhiều khiếm khuyết trên cung hàm song không phải ai cũng có thể áp dụng dịch vụ này. Nếu bạn thuộc 1 trong các trường hợp ở dưới đây nhất định không nên bọc răng sứ. Bạn cần lựa ...
Bọc răng sứ thẩm mỹ có tốt không? – Câu trả lời chính xác dành cho bạn
Là giải pháp phục hình răng tối ưu cho nhiều tình trạng răng xấu hỏng, khiếm khuyết, bọc sứ đã và đang đón nhận được sự quan tâm của đông đảo khách hàng. Để không phải băn khoăn về quyết định sau cùng của mình, bạn nên hiểu rõ bọc răng sứ thẩm mỹ có tốt không ngay ...
Giúp bạn giải mã câu hỏi bệnh nha chu có lây không
Đặt ra câu hỏi bệnh nha chu có lây không, mọi người khá lo lắng vì căn bệnh răng miệng này thực sự là một bệnh lý đe dọa lớn đối với sức khỏe răng miệng. Răng bạn không những không được bảo vệ, dễ bị tấn công mà sức khỏe toàn thân cũng chịu chung số phận, ...
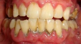
Cạo vôi răng giá bao nhiêu tiền, chi phí lấy cao răng bao nhiêu là hợp lý?
Câu hỏi: Chào bác sĩ nha khoa, em năm nay 21 tuổi, em soi gương và thấy mặt trong của răng có nhiều mảng bám rất cứng mà dùng tăm không thể xỉa hết được. Em tìm hiểu thì được biết đó gọi là vôi răng. Em chưa từng lấy vôi răng bao giờ, vậy bác sĩ có ...
Hiểu rõ vấn đề bệnh nha chu có nguy hiểm không?
Bệnh nha chu thường diễn biến thầm lặng do đó nhiều người có tâm lý chủ quan, đến khi nhận ra các dấu hiệu rõ rệt sẽ cảm thấy hoang mang bởi chưa hiểu rõ bệnh nha chu có nguy hiểm không? Hãy hiểu rõ vấn đề này để tránh các rủi ro không mong muốn. Bệnh nha chu ...
Những cách chăm sóc nha chu giúp răng lúc nào cũng chắc khỏe
Chăm sóc nha chu giúp bảo vệ các tổ chức nâng đỡ, bảo vệ xung quanh răng là việc làm thiết thực và vô cùng quan trọng. Với từng cách chăm sóc tổ chức nha chu, răng miệng đúng sẽ giúp bạn phòng ngừa được khá nhiều bệnh lý. Cách chăm sóc nha chu cho răng miệng chắc khỏe Vai trò, ...
Bọc Răng Sứ Giữ Lại Răng Khểnh Cho Nụ Cười Duyên Xinh
Không ít người luôn ao ước hàm răng của mình có thêm chiếc răng khểnh duyên. Trong một số trường hợp khách hàng có răng khểnh nhưng do răng hàm tổng thể không được đẹp cần bọc răng sứ. Vậy bọc răng sứ giữ lại răng khểnh có được hay không? Bọc răng sứ giữ lại răng khểnh duyên Bọc ...
Nếu không may mắc bệnh nha chu có chữa được không?
Bệnh nha chu có chữa được không? Tùy vào từng giai đoạn của bệnh và nhờ vào sự phát hiện sớm bệnh sẽ thuyên giảm hoặc khỏi. Việc của bạn là chú ý vào những biểu hiện về răng miệng của mình và thăm khám bệnh trong thời gian sớm. Bệnh nha chu có chữa được không? Viêm nha chu có ...
Răng đã lấy tủy bị vỡ phải làm sao để khắc phục?
Tủy răng chính là nguồn sống của răng. Do đó khi phải lấy tủy vì bất kì lý do nào, răng của bạn chắc chắn sẽ dễ giòn vỡ hơn. Không ít người băn khoăn răng đã lấy tủy bị vỡ phải làm sao để khắc phục. Bạn cũng là một trong số đó, tham khảo ngay gợi ...
Chia sẻ bài viết:
Dịch vụ nổi bật
Chuyên gia tư vấn
- Bọc răng sứ loại nào tốt nhất và Bền nhất hiện nay?
- Bọc răng sứ là gì ? - Quy trình được thực hiện như thế nào ?
- Bọc răng sứ có đau không? - Tư vấn từ chuyên gia nha khoa
- Các bước trong quy trình bọc răng sứ thẩm mỹ - An toàn chuẩn Bộ Y tế
- Chi phí bọc răng sứ bao nhiêu tiền? - Mức chi phí rẻ nhất tại Hà Nội
- Răng sứ có tuổi thọ bao lâu và sử dụng được bao lâu bạn có biết?
Tin nha khoa liên quan
- Chỉnh Răng Mọc Lệch hiệu quả bằng phương pháp Bọc Răng Sứ
- Bọc răng sứ không chính hãng và những hiểm họa khó lường
- Tác hại của bọc răng sứ khi chọn nhầm địa chỉ nha khoa
- Các loại thuốc trị hôi miệng được khuyên dùng giúp giảm ngay mùi hôi
- Răng sứ Titan có tốt không? Sự thật sẽ khiến bạn bất ngờ
- Răng thưa thì phải làm sao để răng đều trong thời gian ngắn nhất?





























