Tin tức
Những tin tức mới nhất về dịch vụ bọc răng sứ thẩm mỹ cập nhật liên tục mỗi ngày tại đây, các tin tức liên quan tới chuyên gia bọc răng sứ, công nghệ bọc răng sứ, giá bọc răng sứ….. XEM tại đây
Răng sứ không kim loại – Lựa chọn”chuẩn” trong công nghệ bọc răng sứ
Răng sứ không kim loại luôn mang đến cho khách hàng sự hài lòng về chất lượng, màu sắc, độ bền, khả năng ăn nhai tốt và nhiều loại sứ để lựa chọn với bảng màu phong phú. Nhiều đối tượng khách hàng đã tìm đến sử dụng răng sứ này trong case bọc sứ của mình và ...
Bọc răng sứ thẩm mỹ khắc phục tình trạng răng bị mòn mặt nhai
Không ít người đã và đang gặp phải tình trạng răng bị mòn mặt nhai, ảnh hưởng lớn đến chức năng ăn nhai và thẩm mỹ của khuôn hàm. Bạn là 1 trong số đó, áp dụng ngay kĩ thuật bọc răng sứ thẩm mỹ để khôi phục hàm răng về nguyên trạng, đẹp tự nhiên và ăn ...
Tác dụng của bọc răng sứ không ai có thể phủ nhận
Trong thời gian gần đây, bọc răng sứ đã và đang trở thành 1 trong các dịch vụ nha khoa thẩm mỹ Hot tại Việt Nam. Vậy, tác dụng của bọc răng sứ là gì mà sức hút ngày càng mạnh mẽ hơn, được nhiều người quan tâm đến vậy? Cùng tìm hiểu ngay tại bài viết này. Bọc răng ...
Nha khoa Bọc Răng Sứ Uy Tín cho khách hàng nước ngoài và Việt Kiều
Trong một vài năm gần đây, xu hướng du lịch nha khoa tại Việt Nam trở nên rất phổ biến. Nhiều bà con Việt Kiều và các khách du lịch lựa chọn Việt Nam làm điểm đến tham quan, nghỉ dưỡng kết hợp với các dịch vụ chăm sóc răng - hàm - mặt. Trong đó, bọc răng ...
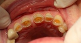
Có nên BỌC RĂNG SỨ cho hàm răng bị mòn men hay không? – Xem ngay
Bọc răng sứ cho hàm răng bị mòn men, răng xấu xí giúp thay đổi về kích thước, độ màu và làm cho bề mặt răng trơn nhẵn, đẹp hơn. Hàm răng bị mòn mất men, bộc lộ ngà răng Răng mòn men ảnh hưởng lớn đến thẩm mỹ và ăn nhai Răng mòn men trong quá trình ăn uống khiến ...
Bọc răng sứ đủ đường cười: Lựa chọn hàng đầu của KH hiện nay
Bọc răng sứ đủ đường cười là một trong những lựa chọn làm hài lòng nhiều đối tượng khách hàng tại nha khoa Dencos Luxury. Bọc răng sứ đủ đường cười Bọc răng sứ đủ đường cười như thế nào? Khi chúng ta cười, những chiếc răng lộ diện ra bên ngoài tạo thành một đường cười rõ nét. Tuy vậy, ...
ZOOM cận cảnh các bước Làm Răng Sứ thẩm mỹ CHUẨN XÁC nhất
Làm răng sứ thẩm mỹ là phương pháp phục hình răng được đánh giá cao và được nhiều người lựa chọn nhằm thay đổi diện mạo hàm răng. Tuy nhiên để làm răng sứ đều đẹp và an toàn là điều không hề đơn giản. Tham khảo các bước làm răng sứ thẩm mỹ tại nha khoa để ...
Chi tiết kỹ thuật trồng răng sứ tại Nha khoa Quốc tế Dencos Luxury
Trồng răng sứ thẩm mỹ hiện nay không còn là khái niệm quá xa lạ với mọi người. Trồng răng sứ nhằm phục hình những khiếm khuyết của hàm răng, mang đến cho bạn hàm răng đều đẹp, trắng sáng, nụ cười tự tin rạng rỡ. Vậy kỹ thuật trồng răng sứ như thế nào được coi là ...
Những sự thật thú vị về phương pháp đắp răng sứ thẩm mỹ
Đắp răng sứ giúp che phủ đi những khiếm khuyết của hàm răng như tình trạng: Răng nhiễm màu, ố vàng, răng thưa ngắn, sứt mẻ. Vẻ đẹp của nụ cười của bạn được tăng lên gấp nhiều lần với răng sứ có màu trắng tươi và đồng đều. Những thông tin cần biết về phương pháp đắp răng ...
Khoan vội khẳng định làm răng sứ có hại không nếu bạn chưa chắc chắn
Làm răng sứ có hại không: Răng thật có bị hư hỏng, việc ăn nhai như thế nào và nướu lợi của bạn ra sao sau khi bọc răng sứ. Những vấn đề mà khách hàng quan tâm được làm sáng tỏ và giúp mọi người có thể yên tâm tìm đến với phương pháp răng sứ thẩm mỹ. Làm ...
Chia sẻ bài viết:
Dịch vụ nổi bật
Chuyên gia tư vấn
- Bọc răng sứ loại nào tốt nhất và Bền nhất hiện nay?
- Bọc răng sứ là gì ? - Quy trình được thực hiện như thế nào ?
- Bọc răng sứ có đau không? - Tư vấn từ chuyên gia nha khoa
- Các bước trong quy trình bọc răng sứ thẩm mỹ - An toàn chuẩn Bộ Y tế
- Chi phí bọc răng sứ bao nhiêu tiền? - Mức chi phí rẻ nhất tại Hà Nội
- Răng sứ có tuổi thọ bao lâu và sử dụng được bao lâu bạn có biết?
Tin nha khoa liên quan
- Kĩ thuật bọc răng sứ “CHUẨN TỪ A-Z” tại Nha khoa Dencos Luxury
- Hình ảnh bọc răng sứ đẹp được cập nhật hàng ngày
- Nên nhổ răng khôn ở đâu để có được sự hài lòng, yên tâm
- Tẩy trắng răng Zoom whitening – Bước đột phá mới trong lĩnh vực làm đẹp răng
- Chìa khóa thành công trong cách làm răng sứ titan
- Tìm ra giải pháp chỉnh răng cửa cho mọi trường hợp NHANH – GỌN – LẸ





























