Tin tức
Những tin tức mới nhất về dịch vụ bọc răng sứ thẩm mỹ cập nhật liên tục mỗi ngày tại đây, các tin tức liên quan tới chuyên gia bọc răng sứ, công nghệ bọc răng sứ, giá bọc răng sứ….. XEM tại đây
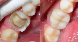
[BS nha khoa tư vấn] – Mất răng hàm có bọc răng sứ được không?
Câu hỏi: Chào nha khoa, tôi năm nay 30 tuổi, bị mất 1 chiếc răng hàm. Tôi muốn hỏi là nếu mất răng hàm có bọc răng sứ được không vì nghe nói đây là phương pháp thực hiện nhanh chóng vì tôi phải đi công tác thường xuyên, không có nhiều thời gian. Mong nhận được tư ...
5 cây thuốc chữa sâu răng bạn nên tận dụng ngay
Bạn chưa có điều kiện đến nha khoa để hỗ trợ chữa sâu răng nhưng đang "khổ sở" vì chứng bệnh này. Hãy tận dụng ngay 5 cây thuốc chữa sâu răng này để giảm nhanh các triệu chứng đau nhức và làm chậm diễn tiến của bệnh. Cây xương cá Cây xương cá (còn có tên gọi là cây ...
Làm răng sứ nguyên hàm – Cho đường cười đều đẹp tự nhiên
Nhu cầu làm đẹp cho hàm răng, nụ cười đang ngày càng gia tăng khi đời sống của mọi người đang dần tốt hơn. Càng có nhiều khách hàng hướng đến diện mạo mới, đổi khác khi quyết định làm răng sứ nguyên hàm. Làm răng sứ nguyên hàm - Trọn vẹn nụ cười tươi Làm răng sứ nguyên hàm ...
Răng sứt mẻ phải làm sao? – Chuyên gia Phạm Duy Quang tư vấn
Câu hỏi: Đợt vừa rồi em bị ngã xe nên mẻ mất 2 cái răng cửa nhìn rõ tệ hại. Không biết răng sứt mẻ phải làm sao để hồi phục nhanh chóng, an toàn vậy thưa bác sĩ. Chi phí thế nào? Mong nhận được tư vấn sớm ah. (Bùi Thị Thanh Hương, Hưng Yên). TRẢ LỜI Thanh Hương ...
Tháo răng sứ làm lại có đau không? [Tham khảo ý kiến chuyên gia]
Câu hỏi: Chào bác sĩ, hồi trước tôi có làm 10 răng sứ, nhưng bây giờ sứ bị đổi màu, còn bị sứt mẻ nữa, muốn bọc lại nhưng sợ tháo răng sứ gây đau. Bác sĩ có thể tư vấn cho tôi tháo răng sứ làm lại có đau không để tôi yên tâm hơn được không ...
Răng sứ có bị sâu không? – Cập nhật thông tin từ bác sĩ nha khoa
Câu hỏi: Chào bác sĩ, em đã bọc răng sứ được hơn 1 tháng nay rồi. Nhưng hiện tại em không chắc chắn là răng sứ có bị sâu không và nên làm gì sau khi bọc sứ để không bị sâu răng. Mong bác sĩ có thể tư vấn cho em. (Chu Thị Lựu - Bắc Giang) Răng sứ ...
Muôn vàn nỗi lo trước khi bọc răng sứ chỉ ai trải qua mới biết
Bọc răng sứ trở thành một sự lựa chọn dành cho những ai không may sở hữu hàm răng không đẹp, bị hư hỏng. Nhưng trước khi bọc sứ ở đâu thì khách hàng cũng có những mối bận tâm, băn khoăn riêng mà chung và thường nằm trong loạt vấn đề ngay sau đây. Bọc răng sứ và ...
Bọc Sứ cho Răng Hàm nên chọn loại nào thì TỐT và AN TOÀN << Xem ngay
Câu hỏi: Em bị sâu răng hàm ở hàm dưới, vừa đau mà mỗi lần ăn uống gì lại thấy sợ sợ nên đợt này định đi làm răng. Hôm trước em có đi khám thì bác sĩ bảo phải bọc răng sứ vì răng sâu nặng rồi. Nha khoa cho em hỏi bọc sứ cho răng hàm ...
Bọc sứ răng thưa – Lựa chọn tối ưu cho hàm răng khít sát, đều đẹp
Tình trạng răng thưa không chỉ ảnh hưởng đến độ thẩm mỹ của hàm răng và khuôn mặt, mà kẽ răng thưa còn gây dắt thức ăn, nếu không được vệ sinh sạch sẽ có thể dẫn đến các bệnh lý ảnh hưởng đến sức khỏe răng miệng. Do đó để khắc phục tình trạng này, các chuyên ...
Bọc răng sứ nguyên hàm – Thay diện mạo cho hàm rang, nụ cười
Bọc răng sứ nguyên hàm là giải pháp tối ưu cho những trường hợp răng có nhiều khiếm khuyết, hư tổn khi mang lại kết quả phục hình cao, răng đều đẹp, trắng sáng tự nhiên, đáp ứng tính an toàn và tiết kiệm thời gian. Đọc bài này bạn sẽ hiểu tường tận về dịch vụ và ...
Chia sẻ bài viết:
Dịch vụ nổi bật
Chuyên gia tư vấn
- Bọc răng sứ loại nào tốt nhất và Bền nhất hiện nay?
- Bọc răng sứ là gì ? - Quy trình được thực hiện như thế nào ?
- Bọc răng sứ có đau không? - Tư vấn từ chuyên gia nha khoa
- Các bước trong quy trình bọc răng sứ thẩm mỹ - An toàn chuẩn Bộ Y tế
- Chi phí bọc răng sứ bao nhiêu tiền? - Mức chi phí rẻ nhất tại Hà Nội
- Răng sứ có tuổi thọ bao lâu và sử dụng được bao lâu bạn có biết?
Tin nha khoa liên quan
- Những cảnh báo về bệnh viêm nha chu đối với sức khỏe của bạn
- Răng thưa phải làm sao – chia sẻ của một người từng rất tự ti vì thưa răng
- Răng sứ kim loại có tốt không – Đừng hối hận khi không biết câu trả lời
- Cách chữa răng vẩu nhanh chóng cho những ai muốn tiết kiệm thời gian
- Răng lung lay có bọc răng sứ được không? – [Kiểm chứng thực tế]
- Bọc răng sứ cho răng vẩu có mang lại hiệu quả cao không?




![[BS nha khoa tư vấn] – Mất răng hàm có bọc răng sứ được không? [BS nha khoa tư vấn] – Mất răng hàm có bọc răng sứ được không?](https://bocrangsuthammy.info/vuimg/262x142/vu/2017/06/mat-rang-ham-co-boc-rang-su-duoc-khong1-300x191.jpg)



![Tháo răng sứ làm lại có đau không? [Tham khảo ý kiến chuyên gia] Tháo răng sứ làm lại có đau không? [Tham khảo ý kiến chuyên gia]](https://bocrangsuthammy.info/vuimg/262x142/vu/2017/07/thao-rang-su-lam-lai-co-dau-khong1-300x176.jpg)





![[BS nha khoa tư vấn] – Mất răng hàm có bọc răng sứ được không? [BS nha khoa tư vấn] – Mất răng hàm có bọc răng sứ được không?](https://bocrangsuthammy.info/vuimg/208x142/vu/2017/01/Truoc-sau8-300x188.gif)
![[BS nha khoa tư vấn] – Mất răng hàm có bọc răng sứ được không? [BS nha khoa tư vấn] – Mất răng hàm có bọc răng sứ được không?](https://bocrangsuthammy.info/vuimg/208x142/vu/2017/01/DV02_Thay-chup-su-300x211.jpg)
![[BS nha khoa tư vấn] – Mất răng hàm có bọc răng sứ được không? [BS nha khoa tư vấn] – Mất răng hàm có bọc răng sứ được không?](https://bocrangsuthammy.info/vuimg/208x142/vu/2017/01/DV02_Caurangsu-300x211.jpg)
![[BS nha khoa tư vấn] – Mất răng hàm có bọc răng sứ được không? [BS nha khoa tư vấn] – Mất răng hàm có bọc răng sứ được không?](https://bocrangsuthammy.info/vuimg/208x142/vu/2017/01/Mat-dan-su-2-300x200.jpg)











