Tin tức
Những tin tức mới nhất về dịch vụ bọc răng sứ thẩm mỹ cập nhật liên tục mỗi ngày tại đây, các tin tức liên quan tới chuyên gia bọc răng sứ, công nghệ bọc răng sứ, giá bọc răng sứ….. XEM tại đây
Tóm lược cách phân loại răng sứ phù hợp cho từng đối tượng
Hiện nay trên thị trường xuất hiện rất nhiều loại răng sứ. Tuy nhiên, để đảm bảo sức khỏe răng miệng cũng như tránh biến chứng sau này không nên bỏ qua các cách phân loại răng sứ sau. PHÂN LOẠI RĂNG SỨ PHỔ BIẾN HIỆN NAY Theo các chuyên gia để phân loại răng sứ cần dựa trên: + Cấu tạo ...
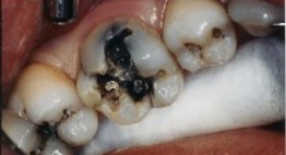
Khám phá các cách chữa sâu răng HIỆU QUẢ đến 90%
Sâu răng không chỉ gây nên những cơn đau buốt khó chịu mà còn làm mất thẩm mỹ hàm răng. Áp dụng ngay các cách chữa sâu răng hiệu quả để hàm răng được khỏe mạnh và bảo vệ tốt nhất. Các cách chữa sâu răng tại nhà Dầu oliu và dầu đinh hương kết hợp chữa sâu răng Dầu oliu ...
Răng vẩu kém thẩm mỹ sẽ biến mất nhờ các phương pháp điều trị này
Răng vẩu hay còn gọi là răng hô là những chiếc răng mọc chếch ra phía trước. Tình trạng này khiến khuôn hàm trên sẽ đưa ra nhiều hơn hàm dưới. Nếu chụp nghiêng bạn có thể sẽ thấy khuôn hàm trên nhô ra. Lệch hẳn so với cấu trúc tổng thể của khuôn mặt. Gây mất thẩm ...
Khi nào nên bọc răng sứ? – Tư vấn các trường hợp cụ thể
Bọc răng sứ được đánh giá là phương pháp thẩm mỹ răng sứ có nhiều ưu điểm nổi trội. Tuy nhiên, khi nào nên bọc răng sứ cũng như ưu điểm của hình thức làm răng này là điều chưa thật sự rõ ràng và rất nhiều khách hàng thắc mắc. Cùng đi tìm câu trả lời cho ...
Mặt dán sứ Veneer – Đỉnh cao công nghệ làm răng sứ đều đẹp
Mặt dán sứ Veneer không chỉ là phương pháp phục hình các khiếm khuyết và nhược điểm trên răng nhanh chóng mà còn rất an toàn. Đây được xem là công nghệ làm răng sứ hiện đại, được ưa chuộng nhất hiện nay. NHỮNG TRƯỜNG HỢP CÓ THỂ ÁP DỤNG LÀM MẶT DÁN SỨ VENEER Mặt dán Veneer khiến hàm ...
Bao nhiêu tuổi có thể bọc răng sứ? – Độ tuổi để đảm bảo AN TOÀN?
Rất nhiều trường hợp răng bị xỉn màu hay răng hư hỏng muốn làm răng sứ nhưng không biết bao nhiêu tuổi có thể bọc răng sứ. Bài viết sau xin cung cấp các thông tin quan trọng liên quan đến độ tuổi bọc răng sứ. BAO NHIÊU TUỔI CÓ THỂ BỌC RĂNG SỨ? Răng sứ thường được khuyên dùng ...
Buốt răng là hiện tượng gì? Xử lý buốt răng HIỆU QUẢ tức thì
Bạn thường gặp phải hiện tượng buốt răng? Bạn lo lắng cho hàm răng của mình có thể xảy ra các vấn đề bệnh lý nghiêm trọng. Tham khảo ngay bài viết để biết chính xác đây là hiện tượng gì và có biện pháp chăm sóc răng miệng toàn diện. Buốt răng là hiện tượng gì? Lý giải Hiện tượng ...
Bọc răng sứ bị cộm – Nguyên nhân & Giải pháp khắc phục
Bọc răng được biết đến là giải pháp khắc phục các vấn đề hư hỏng trên răng nhằm mang đến diện mạo mới và sự thuận tiện trong ăn uống. Tuy nhiên, bọc răng sứ không đúng cách khiến bọc răng sứ bị cộm, khó chịu. BỌC RĂNG SỨ BỊ CỘM TẠI SAO? 1. Bọc răng sứ bị cộm do ...
Hướng dẫn dùng chỉ nha khoa đúng cách cho mọi nhà
Chỉ nha khoa không còn là cái tên quá xa lạ với nhiều người bởi công dụng làm sạch khoang miệng. Tham khảo hướng dẫn dùng chỉ nha khoa đúng cách để bảo vệ răng miệng tốt nhất tại nhà. Chỉ nha khoa thích hợp cho những trường hợp nào? Chỉ nha khoa là một trong những dụng cụ làm ...
Răng bị nhiễm màu kháng sinh có làm trắng được không?
CÂU HỎI: Chào bác sĩ, tôi có hàm răng xỉn màu do nhiễm kháng sinh từ nhỏ, trông rất xấu. Tôi rất muốn làm trắng răng những thử nhiều cách rồi mà chưa thành công. Bác sĩ cho tôi hỏi răng bị nhiễm màu kháng sinh có làm trắng được không và cách nào hiệu quả. Cảm ơn ...
Chia sẻ bài viết:
Dịch vụ nổi bật
Chuyên gia tư vấn
- Bọc răng sứ loại nào tốt nhất và Bền nhất hiện nay?
- Bọc răng sứ là gì ? - Quy trình được thực hiện như thế nào ?
- Bọc răng sứ có đau không? - Tư vấn từ chuyên gia nha khoa
- Các bước trong quy trình bọc răng sứ thẩm mỹ - An toàn chuẩn Bộ Y tế
- Chi phí bọc răng sứ bao nhiêu tiền? - Mức chi phí rẻ nhất tại Hà Nội
- Răng sứ có tuổi thọ bao lâu và sử dụng được bao lâu bạn có biết?
Tin nha khoa liên quan
- Địa chỉ làm răng sứ UY TÍN – Đẹp, giá rẻ & tốt nhất tại Hà Nội
- ZOOM cận cảnh các bước Làm Răng Sứ thẩm mỹ CHUẨN XÁC nhất
- Bọc răng sứ kim loại có tốt không khi hàm răng bị hư hỏng nghiêm trọng?
- Khoan vội khẳng định làm răng sứ có hại không nếu bạn chưa chắc chắn
- Răng đã lấy tủy bị vỡ phải làm sao để khắc phục?
- Bọc răng sứ răng thỏ xu hướng HOT bạn không nên bỏ qua





























