Tin tức
Những tin tức mới nhất về dịch vụ bọc răng sứ thẩm mỹ cập nhật liên tục mỗi ngày tại đây, các tin tức liên quan tới chuyên gia bọc răng sứ, công nghệ bọc răng sứ, giá bọc răng sứ….. XEM tại đây
Bọc răng sứ xong có ăn uống được bình thường không?
Câu hỏi: Chào bác sĩ, tôi đang muốn bọc răng sứ nhưng không biết là sau khi thực hiện xong có được ăn uống như bình thường không hay phải kiêng cữ thức ăn gì. Mong nhận được tư vấn cụ thể từ nha khoa (Đoàn Châu Mỹ - Sơn La) Bọc răng sứ xong có ăn uống bình ...
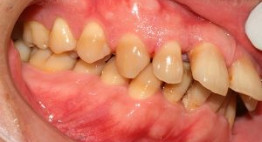
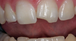
Bỏ ra 2 ngày để phục hình răng sứt mẻ với bọc răng sứ
Khi răng bị sứt mẻ, cảm giác thiếu mất một phần răng khiến cho bạn ăn nhai chẳng được thoải mái và cũng là khiến hàm răng đánh mất đi tính thẩm mỹ vốn có từ trước. Bọc răng sứ với khả năng cải tạo lại những chiếc răng trọn vẹn được thực hiện vỏn vẹn trong 2 ...
Bọc răng sứ và làm cầu răng có gì khác nhau?
Bọc răng sứ và làm cầu răng là 2 phương pháp thẩm mỹ nha khoa được nhiều khách hàng lựa chọn hiện nay. Bởi các thao tác thực hiện gần giống như nhau nên không ít khách hàng nhầm tưởng 2 kĩ thuật này chính là 1. Tuy nhiên các chuyên gia khẳng định rằng, bọc răng & ...
Răng ngắn dài ra với phương pháp bọc răng sứ thẩm mỹ [Bạn tin không?]
Bọc răng sứ cho răng ngắn và thưa, cải thiện độ ngắn, rút bớt khoảng cách giữa các răng. Khớp cắn nhờ đó được đều và ăn nhai thoải mái, tính thẩm mỹ cao hơn. Bọc răng sứ cho răng ngắn, không đều Bọc răng sứ cho răng ngắn và thưa Bọc răng sứ đã khẳng định được lợi thế của ...
Bọc răng sứ không lấy tủy – Những LỢI ÍCH thiết thực bạn nên hiểu rõ
Trước đây, khi kĩ thuật bọc sứ còn đơn giản thì việc lấy tủy răng gần như là 1 công đoạn không thể thiếu. Song theo đánh giá của giới chuyên gia, bọc răng sứ không lấy tủy sẽ mang đến nhiều giá trị thiết thực cho khách hàng về kết quả, khả năng đáp ứng ăn nhai... ...
Lý giải nguyên nhân bọc răng sứ bị nhức & cách xử lý khoa học
Có khoảng 2 – 5% trường hợp khách hàng gặp phải tình trạng bọc răng sứ bị nhức sau khi thực hiện giải pháp bọc sứ cho răng xấu hỏng. Đâu là nguyên nhân gây nên hiện tượng này và cách xử lý khoa học ? – Hãy cùng lắng nghe lời khuyên của chuyên gia có trên ...
Khô miệng sau khi ngủ dậy – Những nguyên nhân và giải pháp hợp lý nhất
Khô miệng khi ngủ dậy khiến cho bạn cảm thấy người mệt mỏi, miệng khô khốc và thường xuyên khát nước liên tục. Nguyên nhân của triêu chứng này là do đâu, có ảnh hưởng nhiều đến sức khỏe không? Tìm hiểu rõ hơn nguyên nhân gây nên bệnh để có biện pháp chữa trị kịp thời. Bạn có ...
Tháo răng sứ làm lại có đau không? – Những vấn đề đáng để lưu tâm
Thực tế cho thấy, không phải ai cũng có được một kết quả làm răng sứ như đúng mong đợi bởi nhiều nguyên nhân khác nhau. Trong trường hợp răng sứ sau bọc bị xấu, hỏng, khoảng sinh học bị tác động nghiêm trọng thì THÁO RĂNG SỨ LÀM LẠI là giải pháp cần thiết và nên tiến ...
Các loại thuốc trị hôi miệng được khuyên dùng giúp giảm ngay mùi hôi
Thuốc trị hôi miệng theo bí kíp từ xa xưa của ông cha ta, hay các loại thuốc có chứa thành phần diệt khuẩn sẽ giúp hơi thở của bạn trở lại thơm tho như trước. Nỗi bận tâm về chứng hôi miệng không còn quẩn quanh bên bạn nữa. Hôi miệng nên uống thuốc gì? Các loại thuốc trị ...
Răng hô nên bọc răng sứ hay niềng răng để mang lại hàm răng đều đẹp?
CÂU HỎI: Chào bác sĩ, hiện tại răng của tôi bị hô và răng bị xỉn màu. Răng không đồng đều rất mất thẩm mỹ. Tôi rất ngại giao tiếp với mọi người vì thế mà công việc của tôi bị ảnh hưởng rất nhiều. Mong bác sĩ tư vấn giúp tôi răng hô nên bọc răng sứ ...
Chia sẻ bài viết:
Dịch vụ nổi bật
Chuyên gia tư vấn
- Bọc răng sứ loại nào tốt nhất và Bền nhất hiện nay?
- Bọc răng sứ là gì ? - Quy trình được thực hiện như thế nào ?
- Bọc răng sứ có đau không? - Tư vấn từ chuyên gia nha khoa
- Các bước trong quy trình bọc răng sứ thẩm mỹ - An toàn chuẩn Bộ Y tế
- Chi phí bọc răng sứ bao nhiêu tiền? - Mức chi phí rẻ nhất tại Hà Nội
- Răng sứ có tuổi thọ bao lâu và sử dụng được bao lâu bạn có biết?
Tin nha khoa liên quan
- Những điều cần biết để Ghép xương hàm AN TOÀN
- Jak wypłacić pieniądze z Slottica: doświadczenia innych graczy
- Quá mệt mỏi vì khô miệng khi ngủ kéo dài dai dẳng phải làm sao?
- Site Oficial Para Cassino Online At The Apostas No Brasil
- Mostbet ᐉ Bônus Para Boas-vindas R$5555 ᐉ Oficial Mostbet Casino Br
- Cầu răng sứ – Phục hình răng mất nhanh chóng, thẩm mỹ