Nha khoa Dencos Luxury

Tin tức

Những tin tức mới nhất về dịch vụ bọc răng sứ thẩm mỹ cập nhật liên tục mỗi ngày tại đây, các tin tức liên quan tới chuyên gia bọc răng sứ, công nghệ bọc răng sứ, giá bọc răng sứ….. XEM tại đây

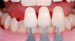
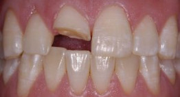
Bọc răng sứ cho trường hợp răng gãy vỡ lớn, hư hỏng chân răng

Bọc răng sứ cho trường hợp răng gãy vỡ lớn, hư hỏng chân răng

Răng có thể bị hư hỏng, gãy vỡ và đen viền chân răng do nhiều nguyên nhân khác nhau. Tuy nhiên, bọc răng sứ sẽ giúp giải quyết các vấn đề nêu trên cho khách hàng chỉ trong một phương pháp và thực hiện nhanh gọn trong 2 ngày. Bọc răng sứ khắc phục răng gãy hỏng Nguyên nhân làm ...

Bọc Răng Sứ Có Tháo Ra Được Không? Cách tháo răng sứ An Toàn nhất

Bọc Răng Sứ Có Tháo Ra Được Không? Cách tháo răng sứ An Toàn nhất

Một số trường hợp răng sứ bị hư hỏng do sử dụng răng kém chất lượng, thực hiện bọc sứ với kỹ thuật kém nên khá lo lắng cho việc đã bọc răng sứ có tháo ra được không để khắc phục tình trạng răng bị xuống cấp. Bất kì những ai đã và đang có nhu cầu ...

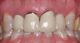
Bọc Răng Sứ phần chân răng bị hở – Biện pháp khắc phục Hiệu Quả 99%

Bọc Răng Sứ phần chân răng bị hở – Biện pháp khắc phục Hiệu Quả 99%

Bọc răng sứ phần chân răng bị hở khiến cho răng dễ bị tác động bởi các thành phần acid có trong thực phẩm, nóng lạnh từ thức ăn làm rút ngắn tuổi thọ của răng sứ. Nguyên nhân của tình trạng này từ đâu ra, làm cách nào để giải quyết sẽ được làm sáng tỏ. Bọc răng ...

Có thể bạn không biết: Nên bọc răng sứ hay dán sứ Veneer?

Có thể bạn không biết: Nên bọc răng sứ hay dán sứ Veneer?

Xã hội phát triển, nhu cầu làm đẹp của con người được nâng cao, làm răng thẩm mỹ hiện nay ngày càng được nhiều người sử dụng. Bọc răng sứ và dán sứ Veneer là 2 phương pháp phục hình răng phổ biến hiện nay. Tuy nhiên nên bọc răng sứ hay dán sứ vẫn luôn là băn ...

Bạn có biết: Làm cầu răng sứ sử dụng được bao lâu?

Bạn có biết: Làm cầu răng sứ sử dụng được bao lâu?

Chẳng may bạn bị mất răng, làm mất thẩm mỹ cho hàm răng của bạn. Đồng thời khó thực hiện chức năng ăn nhai như bình thường. Làm cầu răng sứ là một giải pháp tốt dành cho bạn, có tính thẩm mỹ cao. Ngăn chặn sự xô lệch hàm, giúp bạn thực hiện chức năng ăn nhai ...

Đa góc nhìn về vấn đề có nên trám răng thưa không?

Đa góc nhìn về vấn đề có nên trám răng thưa không?

Không thể phủ nhận rằng, trám răng là phương pháp làm gia tăng kích cỡ chiều ngang thân răng đơn giản và tiết kiệm chi phí. Khắc phục tình trạng răng thưa, hở kẽ nhanh chóng. Song có nên trám răng thưa không vẫn là 1 câu hỏi khiến nhiều người băn khoăn. Bởi bên cạnh các lợi ...

Tiêu chí quan trọng giúp bạn tìm hiểu địa chỉ làm răng sứ kim loại bền đẹp, chất lượng cao

Tiêu chí quan trọng giúp bạn tìm hiểu địa chỉ làm răng sứ kim loại bền đẹp, chất lượng cao

Lựa chọn 1 địa chỉ làm răng sứ kim loại bền, đẹp, uy tín có ý nghĩa rất quan trọng trong việc phục hình giúp bạn khắc phục tối đa những hạn chế của dòng sứ kim loại này cũng như nâng cao tuổi thọ của của răng. Hãy cùng theo dõi những tiêu chí giúp bạn tìm ...

Bọc răng sứ khắc phục hàm răng có kích thước không đều nhau?

Bọc răng sứ khắc phục hàm răng có kích thước không đều nhau?

Bạn đã từng rất đau đầu chỉ vì hàm răng chưa đều của mình, răng ngắn dài không được cân đối, hay như là hàm răng chiếc thì to chiếc nhỏ. Với công nghệ bọc răng sứ thẩm mỹ tiên tiến, bạn sẽ chẳng phải đau đầu vì hàm răng lệch lạc của mình nữa. Hàm răng mọc không ...

Cảnh báo: Những điều bạn phải biết về bọc răng sứ không cần mài răng

Cảnh báo: Những điều bạn phải biết về bọc răng sứ không cần mài răng

Bọc răng sứ là một trong những phải pháp phục hình răng hiện đại và thay thế răng khiếm khuyết, răng bị mất nhanh chóng. Theo sự phát triển của các phương pháp làm răng sứ tiên tiến, bọc răng sứ ngày càng đơn giản và nhanh gọn hơn. Tuy nhiên, về vấn đề bọc răng sứ không ...

Làm sao để có răng khểnh đẹp tự nhiên và duyên dáng?

Làm sao để có răng khểnh đẹp tự nhiên và duyên dáng?

Câu hỏi: Chào bác sĩ nha khoa, em thấy gần đây có nhiều bạn tạo hình răng khểnh trông rất xinh và cười duyên lắm. Em muốn hỏi bác sĩ làm sao để có răng khểnh đẹp tự nhiên như vậy. Bác sĩ hãy tư vấn giúp em nhé. Mong nhận được hồi âm của bác sĩ. (Ngọc ...

Chia sẻ bài viết:
chat
Chào bạn
Bác sĩ đã sẵn sàng tư vấn
GỌI NGAYGỌI NGAY