Nha khoa Dencos Luxury

Tin tức

Những tin tức mới nhất về dịch vụ bọc răng sứ thẩm mỹ cập nhật liên tục mỗi ngày tại đây, các tin tức liên quan tới chuyên gia bọc răng sứ, công nghệ bọc răng sứ, giá bọc răng sứ….. XEM tại đây

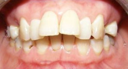
Làm lại răng cửa đẹp nhất hiện nay bằng cách nào?

Làm lại răng cửa đẹp nhất hiện nay bằng cách nào?

"Cái răng cái tóc là góc con người" - răng cửa được coi là bộ mặt chung của hàm răng. Vì vậy làm lại răng cửa là việc cần thiết để lấy lại nụ cười tự tin rạng rỡ. Bọc răng sứ là công nghệ phục hình răng hoàn hảo nhất giúp khắc phục những nhược điểm của ...

Muốn biết răng hô phải làm sao, đừng bỏ lỡ các thông tin quan trọng từ chuyên gia nha khoa

Muốn biết răng hô phải làm sao, đừng bỏ lỡ các thông tin quan trọng từ chuyên gia nha khoa

Răng hô không còn là khái niệm xa lạ với mọi người bởi những ảnh hưởng mà nó mang lại. Rất nhiều người thường băn khoăn răng hô phải làm sao và khó có thể tìm ra được biện pháp tốt nhất cho hàm răng của mình. Vậy thì còn chần chờ gì mà không khám phá những ...

Tìm ra giải pháp chỉnh răng cửa cho mọi trường hợp NHANH – GỌN – LẸ

Tìm ra giải pháp chỉnh răng cửa cho mọi trường hợp NHANH – GỌN – LẸ

Chỉnh sửa răng cửa với phương pháp bọc răng sứ thẩm mỹ là giải pháp mang lại: Kết quả như ý muốn, rút ngắn thời gian thực hiện, tăng khả năng ăn nhai, duy trì bền vững. Phù hợp với đa dạng khách hàng có tình trạng răng sứt mẻ, hư hỏng khác nhau nên thời gian gần đây, ...

Mài răng hô bọc sứ – Nhanh chóng để có hàm răng đều đẹp tự nhiên

Mài răng hô bọc sứ – Nhanh chóng để có hàm răng đều đẹp tự nhiên

Bạn đang tự ti vì răng mọc chìa ra ngoài, ảnh hưởng đến thẩm mỹ chung và mong muốn tìm được giải pháp khắc phục nhanh chóng, hiệu quả và an toàn? – Lựa chọn ngay dịch vụ mài răng hô hoặc mài răng cửa hô bọc sứ tại Nha khoa Quốc tế Dencos Luxury. Răng hô khiến bạn ...

Trồng răng sứ mất bao lâu là chuẩn xác nhất- Bạn đã biết chưa?

Trồng răng sứ mất bao lâu là chuẩn xác nhất- Bạn đã biết chưa?

Trồng răng sứ được đánh giá là phương pháp làm răng thẩm mỹ tích hợp nhiều ưu điểm và được nhiều người lựa chọn để thay đổi diện mạo cho hàm răng. Thời gian trồng răng sứ mất bao lâu cũng như ảnh hưởng của phương pháp này đang là vấn đề mà mọi người đặc biệt quan ...

Độ bền của răng sứ Cercon được duy trì trong bao lâu?

Độ bền của răng sứ Cercon được duy trì trong bao lâu?

Độ bền của răng sứ Cercon được duy trì trong bao lâu phụ thuộc rất nhiều vào công nghệ phục hình răng sứ, kỹ thuật thực hiện của các bác sĩ, chất liệu tạo nên răng sứ đó như thế nào và cách chăm sóc răng sứ của từng người ra sao. Độ bền của răng sứ Cercon trong ...

Răng giả dùng được bao lâu? Thời gian cụ thể cho từng loại

Răng giả dùng được bao lâu? Thời gian cụ thể cho từng loại

Răng giả dùng được bao lâu còn tùy thuộc vào loại răng giả mà khách hàng đang sử dụng, chất liệu chế tạo và cách sử dụng, chế độ ăn uống và chăm sóc răng của mỗi người như thế nào. Hãy cùng tìm hiểu thông tin thời gian sử dụng răng giả cho từng loại cụ thể. Răng ...

Nhiều người cũng muốn tìm hiểu thông tin về bọc răng sứ Dresden

Nhiều người cũng muốn tìm hiểu thông tin về bọc răng sứ Dresden

Tuy không được phổ biến rộng rãi bằng các loại răng sứ kim loại hay răng toàn sứ khác nhưng vẫn có những khách hàng tìm hiểu đến phương pháp bọc răng sứ Dresden. Bài viết sau đây sẽ cung cấp thêm một phần thông tin giải đáp thỏa đáng cho những khách hàng đang tìm hiểu về ...

Bọc răng sứ Vita: Đừng bỏ lỡ những thông tin cần thiết dành cho bạn

Bọc răng sứ Vita: Đừng bỏ lỡ những thông tin cần thiết dành cho bạn

Bọc răng sứ Vita cũng có những ưu và nhược điểm riêng. Tuy nhiên, để biết được những thông tin chi tiết và đưa ra quyết định có nên bọc răng sứ này hay không thì mọi khách hàng nên đọc và tìm hiểu kĩ càng. Bọc răng sứ Vita và những điều cần hiểu rõ Răng sứ Vita là ...

Bọc răng sứ kim loại (Titan) – Hãy đọc những thông tin cần thiết ngay bây giờ

Bọc răng sứ kim loại (Titan) – Hãy đọc những thông tin cần thiết ngay bây giờ

Bọc răng sứ kim loại với giá thành thấp hơn so với dòng răng toàn sứ. Nó mang trong mình những ưu điểm đáng để chúng ta quan tâm. Đôi khi, nếu không tìm hiểu kĩ càng những điểm liên quan chúng ta không thể biết được rằng răng sứ kim loại cũng là một loại răng chất ...

Chia sẻ bài viết:
chat
Chào bạn
Bác sĩ đã sẵn sàng tư vấn
GỌI NGAYGỌI NGAY