Nha khoa Dencos Luxury

Tin tức

Những tin tức mới nhất về dịch vụ bọc răng sứ thẩm mỹ cập nhật liên tục mỗi ngày tại đây, các tin tức liên quan tới chuyên gia bọc răng sứ, công nghệ bọc răng sứ, giá bọc răng sứ….. XEM tại đây

Sử dụng răng sứ Cercon có tốt không? – Đánh giá thực tế cho người dùng

Sử dụng răng sứ Cercon có tốt không? – Đánh giá thực tế cho người dùng

Răng sứ Cercon có tốt không? Những tiêu chuẩn đánh giá về răng sứ và khả năng đáp ứng của loại răng toàn sứ này sẽ giúp bạn có thể hiểu rõ hơn về chất lượng của răng sứ Cercon. Những thông tin quan trọng về đặc điểm của răng sứ Cercon HT có lẽ là những điều bạn không thể ...

Có nên bọc răng sứ Emax hay không? Đây sẽ là thông tin chính xác nhất

Có nên bọc răng sứ Emax hay không? Đây sẽ là thông tin chính xác nhất

Giữa hàng loạt các loại răng toàn sứ đang được sử dụng trên thị trường như hiện nay thì nhu cầu về răng sứ Emax cũng rất nhiều. Khách hàng luôn tự đặt ra câu hỏi: Có nên bọc răng sứ Emax không. Hay là sử dụng răng sứ khác sẽ có chất lượng tốt hơn. Nếu bạn ...

Nhiều khách hàng đã tìm ra đúng cách làm răng bớt hô cho mình

Nhiều khách hàng đã tìm ra đúng cách làm răng bớt hô cho mình

Khi không may sở hữu hàm răng không đều với khớp cắn lệch, nụ cười của bạn chẳng còn trọn vẹn và suy nghĩ cách làm răng bớt hô nào mang lại hiệu quả nhanh chóng mà kết quả có được tính thẩm mỹ cao luôn luôn khiến bạn đau đầu cho đến khi thực sự có giải ...

“Theo chân” sao Việt đi tìm địa chỉ chụp răng sứ tại Hà Nội uy tín, chất lượng

“Theo chân” sao Việt đi tìm địa chỉ chụp răng sứ tại Hà Nội uy tín, chất lượng

Nhiều sao Việt có hàm răng không được đều, đẹp khiến họ mất tự tin và không thể cởi mở với mọi người, không thoải mái khi đứng trước khán giả. Nhu cầu của họ là hoàn thiện vẻ đẹp để cùng với tài năng của mình, sự nghiệp sẽ càng tốt hơn. Hãy cùng đồng hành và ...

Khám phá sự thật về phương pháp bọc răng sứ không kim loại

Khám phá sự thật về phương pháp bọc răng sứ không kim loại

Bọc răng sứ không kim loại mang đến cho khách hàng các lợi ích thực sự, khẳng định rằng răng sứ kim loại khó có được, đáp ứng được mong muốn của tất cả mọi người về một dịch vụ chất lượng. Bọc răng sứ không kim loại Một số ưu điểm của phương pháp bọc răng sứ không kim ...

Phục hình răng cửa nguyên vẹn cho tình trạng răng hư hỏng, sứt mẻ bằng bọc răng sứ thẩm mỹ

Phục hình răng cửa nguyên vẹn cho tình trạng răng hư hỏng, sứt mẻ bằng bọc răng sứ thẩm mỹ

Phục hình răng cửa cho những tình trạng răng bị hư hỏng, sứt mẻ một phần men răng bằng phương pháp bọc răng sứ thẩm mỹ mang lại kết quả hoàn hảo về tính thẩm mỹ lẫn ăn nhai. Cùng với công nghệ bọc răng sứ tiên tiến và dịch vụ chất lượng tại Nha khoa Quốc tế ...

Chỉ với giá răng sứ Titan liệu có quyết định chất lượng, hiệu quả dịch vụ?

Chỉ với giá răng sứ Titan liệu có quyết định chất lượng, hiệu quả dịch vụ?

Nhiều người thường căn cứ vào giá cả để nhận định, đánh giá chất lượng của các dòng răng sứ, đưa ra quyết định chọn răng sứ kim loại hay toàn sứ. Nhưng giá răng sứ Titan chưa phải là vấn đề cốt lõi quyết định tất cả, còn có nhiều yếu tố khác mà bạn cần được ...

Răng thưa phải làm sao – chia sẻ của một người từng rất tự ti vì thưa răng

Răng thưa phải làm sao – chia sẻ của một người từng rất tự ti vì thưa răng

Bất cứ ai cũng mong muốn sở hữu nụ cười xinh với một hàm răng đều đẹp và trắng sáng. Đối với những người không may mắn như tôi bị thưa răng, không những ảnh hưởng đến vẻ thẩm mỹ mà còn mất tự tin khi giao tiếp. Vậy răng thưa phải làm sao - hãy cùng xem ...

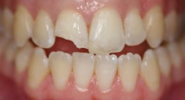
Bị sứt mẻ răng phải làm sao để răng nhanh chóng nguyên vẹn như ban đầu?

Bị sứt mẻ răng phải làm sao để răng nhanh chóng nguyên vẹn như ban đầu?

Sứt răng mẻ - Một phần men của răng bị mất đi làm giảm tính thẩm mỹ, ngà răng dễ bị lộ ra ngoài khiến cho các vi khuẩn xâm nhập và phá hủy các tổ chức bên trong răng, răng suy yếu dần, khả năng ăn nhai kém đi rõ rệt. Tìm ngay một giải pháp khắc ...

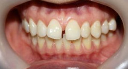
Nguyên nhân và cách giải quyết tình trạng răng cửa bị hở vĩnh viễn

Nguyên nhân và cách giải quyết tình trạng răng cửa bị hở vĩnh viễn

Hai răng cửa bị hở tạo ra khớp cắn không chuẩn. Một phần khả năng ăn nhai bị suy giảm do răng cửa vẫn đóng vai trò trong việc cắn xé thức ăn và đặc biệt một vấn đề luôn được quan tâm và đặt lên đầu là tính thẩm mỹ của toàn bộ hàm không được đánh ...

Chia sẻ bài viết:
chat
Chào bạn
Bác sĩ đã sẵn sàng tư vấn
GỌI NGAYGỌI NGAY