Tin tức
Những tin tức mới nhất về dịch vụ bọc răng sứ thẩm mỹ cập nhật liên tục mỗi ngày tại đây, các tin tức liên quan tới chuyên gia bọc răng sứ, công nghệ bọc răng sứ, giá bọc răng sứ….. XEM tại đây
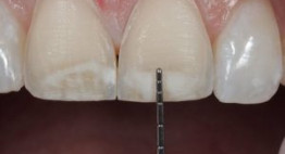
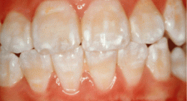
Nguyên nhân, biểu hiện và cách khắc phục thiếu sản men răng tốt nhất
Thiếu sản men răng khiến cho răng trở nên yếu đi. Răng dễ bị kích thích, tổn thương bởi những tác động ở bên ngoài. Tìm hiểu những cách khắc phục thiếu sản men răng hiệu quả giúp cho răng bạn được chắc khỏe mỗi ngày. Cách khắc phục thiếu sản men răng Thiếu sản men răng - Nguyên nhân và triệu ...
Bật mí cách nhận biết răng sứ Titan không phải ai cũng biết
Cách nhận biết răng sứ Titan - Một vấn đề có thể nhiều khách hàng chưa hề nghĩ đến và không thể nào tự mình kiểm chứng. Bổ sung đầy đủ kiến thức về răng sứ với các cách thức tìm hiểu chất lượng của răng sứ Titan ngay bây giờ. Răng sứ titan có độ bền đẹp và ...
Quá trình mài răng như thế nào là đảm bảo nhất?
Quá trình mài răng hay các thao tác làm răng sứ quyết định rất nhiều đến độ bền đẹp của hàm răng. Tuy nhiên, người ta thường chú ý đến tổng thể mà quên mất những chi tiết nhỏ cũng ảnh hưởng lớn đến quy trình mài răng. Cùng khám phá những kinh nghiệm thú vị về kỹ ...
Giá bọc răng hàm bao nhiêu? – Đừng thực hiện dịch vụ khi chưa đọc bài này!
Bạn đang quan tâm đến bọc răng hàm giá bao nhiêu tiền, dòng sứ nào thích hợp, địa chỉ uy tín... Vậy thì đừng thực hiện dịch vụ khi chưa đọc bài viết này, những phân tích từ chuyên gia phục hình răng sứ trên 10 năm kinh nghiệm của nha khoa Quốc tế Dencos Luxury. Bọc răng hàm ...
Mài răng cho đều NÊN hay KHÔNG NÊN thực hiện?
Hàm răng khấp khểnh và răng to nhỏ khác nhau tạo nên tổng thể răng không hài hòa. Điều này khiến hàm răng mất đi vẻ đẹp tự nhiên và nụ cười thoải mái. Do đó, mài răng cho đều là phương pháp mà nhiều người cần chú ý đầu tiên. Mài răng là kỹ thuật cơ bản trong ...
Địa chỉ làm răng sứ UY TÍN – Đẹp, giá rẻ & tốt nhất tại Hà Nội
Nếu bạn đang tìm kiếm 1 địa chỉ làm răng sứ tốt, đáp ứng các tiêu chí Đẹp - An toàn - Uy tín - chi phí hợp lý thì điểm đến được đề cập ở dưới đây chắc chắn là sự lựa chọn số 1 dành cho bạn. Đã có hàng nghìn case trải nghiệm và cho ...
Những lý giải tại sao răng bị thưa gây SHOCK cho nhiều người
Răng thưa là một trong những bệnh lý răng miệng mà nhiều người thường gặp phải. Nó tạo ra những khó khăn và sự tự ti trong ăn uống và giao tiếp hàng ngày. Vậy tại sao răng bị thưa, bạn đã thật sự biết chưa? Răng thưa được gây ra do những nguyên nhân nào? Tại sao răng lại ...
Mài nhỏ răng cửa & Phục hình răng như thế nào cho hiệu quả?
Hàm răng không cân đối với các răng khấp khểnh quá nhiều khiến diện mạo khuôn mặt trở nên xấu xí hơn. Đặc biệt là răng cửa bị to và hô làm giảm giá trị thẩm mỹ của răng. Do đó, mài nhỏ răng cửa, mài ngắn răng cửa là các biện pháp làm thay đổi hàm răng rõ ...
Ưu điểm của răng sứ Cercon – Điểm cộng khiến nhiều người lựa chọn
Cùng phân tích rõ những ưu điểm của răng sứ Cercon để hiểu rằng tại sao dòng sứ này lại được mệnh danh là "Chuẩn mực của răng sứ" và ngày càng được nhiều người lựa chọn khi có nhu cầu thẩm mỹ răng, bảo tồn tính thẩm mỹ của khuôn hàm. Răng sứ Cercon - Chuẩn mực về răng ...
Đắp răng khểnh – Mang đến nụ cười đậm chất cá tính
Răng khểnh là một trong những đặc điểm riêng mà ít người có được. Do đó, để làm tăng giá trị và vẻ đẹp cho hàm răng cũng như nụ cười mà nhiều người chọn lựa hình thức đắp răng khểnh. Đắp răng khểnh để tạo nên nét duyên dáng riêng Đắp răng khểnh có điểm gì nổi trội? Đắp răng ...
Chia sẻ bài viết:
Dịch vụ nổi bật
Chuyên gia tư vấn
- Bọc răng sứ loại nào tốt nhất và Bền nhất hiện nay?
- Bọc răng sứ là gì ? - Quy trình được thực hiện như thế nào ?
- Bọc răng sứ có đau không? - Tư vấn từ chuyên gia nha khoa
- Các bước trong quy trình bọc răng sứ thẩm mỹ - An toàn chuẩn Bộ Y tế
- Chi phí bọc răng sứ bao nhiêu tiền? - Mức chi phí rẻ nhất tại Hà Nội
- Răng sứ có tuổi thọ bao lâu và sử dụng được bao lâu bạn có biết?
Tin nha khoa liên quan
- Mostbet AZ Girişdə İki Faktorlu Doğrulamanı Necə Aktiv Etmək Olar?
- Bạn nên thực hiện bọc răng sứ cho răng móm ngay hôm nay!
- Mostbet Uygulamasını İndirin Android & Ios
- Ai bảo là nam giới thì không thể bọc răng sứ thẩm mỹ!
- Làm răng sứ nguyên hàm – Cho đường cười đều đẹp tự nhiên
- Bọc răng sứ và niềng răng – Đâu mới là giải pháp phù hợp cho bạn?