Tin tức
Những tin tức mới nhất về dịch vụ bọc răng sứ thẩm mỹ cập nhật liên tục mỗi ngày tại đây, các tin tức liên quan tới chuyên gia bọc răng sứ, công nghệ bọc răng sứ, giá bọc răng sứ….. XEM tại đây
Nắm rõ đặc điểm của răng toàn sứ Emax để có sự lựa chọn tốt nhất
Là một trong các dòng răng được khuyên dùng hiện nay với nhiều ưu điểm về công nghệ chế tác, độ bền, màu sắc, tính tương hợp sinh học... Răng toàn sứ Emax đón nhận được sự quan tâm đặc biệt của khách hàng. Bạn muốn hiểu rõ về loại mão răng này, đọc ngay những thông tin ...
Chắc chắn bạn chưa biết thông tin cần thiết về bọc răng sứ Alumina
Răng sứ Alumina thuộc dòng răng toàn sứ chế tạo với công nghệ nha khoa tiên tiến có những ưu điểm khá nổi bật. Nhưng thực sự mà nói thì loại răng sứ này còn lạ lẫm với nhiều khách hàng. Làm dấy lên nhiều điều lo ngại về một sản phẩm mà họ chưa hề biết rõ. ...
Bạn đã biết chắc bọc răng sứ giữ được bao lâu chưa?
So với răng thật của chúng ta thì răng sứ không có được sự bền vững tuyệt đối. Nhưng với sự phát triển trong công nghệ hiện đại thì độ bền của răng sứ đã tăng lên nhiều. Chúng ta hãy cũng trao đổi thông tin cùng chuyên gia phục hình răng thẩm mỹ để biết rõ hơn ...
Khô miệng khát nước là bệnh gì và cách điều trị ra sao để khỏi hẳn?
Khô miệng khi ngủ dậy làm cho bạn cảm thấy thật sự khó chịu đi kèm với biểu hiện khát nước liên tục và đôi môi trở nên khô khốc. Thực ra thì khô miệng khát nước là bệnh gì, có nguy hiểm không và làm cách nào để điều trị triệt để căn bệnh này? Khô miệng khát nước ...
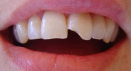
Răng bị mẻ – Làm sao để răng có thể đẹp nguyên vẹn trở lại?
Răng bị mẻ do việc ăn uống các thực phẩm quá cứng, răng bị yếu đi dễ dàng bị sứt mẻ hơn khi phải chịu bất kì một tác động nào từ bên ngoài. Vậy răng bị mẻ thì phải làm sao mới có lại được hàm răng đầy đủ và đẹp như trước? Răng bị mẻ thì phải ...
Chi phí bọc răng thưa bao nhiêu tiền là hợp lí?
Câu hỏi: Chào bác sĩ nha khoa, răng của em bị thưa, vì vậy khiến em mất tự tin khi giao tiếp. Em có nghe nói đến phương pháp bọc răng sứ có thể cải thiện được tình trạng thưa răng. Bác sĩ có thể tư vấn giúp em chi phí bọc răng thưa giá bao nhiêu tiền ...
Răng sứ Cercon sử dụng được bao lâu? [Bí mật nha khoa]
Răng sứ Cercon là loại răng sứ đang được ưa chuộng sử dụng trong phương pháp bọc răng sứ thẩm mỹ hiện nay. Vậy răng sứ Cercon sử dụng được bao lâu? Răng sứ Cercon sử dụng được bao lâu? Răng sứ Cercon sử dụng được bao lâu? Mối quan tâm lớn ngoài vấn đề tính thẩm mỹ và giá cả ...
Răng sứ Cercon Zirconia – Dòng răng toàn sứ với những ưu điểm vượt trội
Răng sứ Cercon Zirconia ra đời đã lâu nhưng mọi người vẫn chưa có được thông tin đầy đủ và chính xác nhất về các dòng răng sứ này. Vì thế, bài viết sau sẽ tổng hợp các thông tin cần thiết nhất về các loại răng sứ này theo các phân tích và đánh giá của giới ...
Sự chênh lệch về giá của 1 chiếc răng sứ là do đâu?
Câu hỏi: Chào bác sĩ nha khoa Quốc tế Dencos Luxury, em đang có nhu cầu làm dịch vụ bọc răng sứ tại nha khoa nhưng không biết giá của 1 chiếc răng sứ hiện nay là bao nhiêu. Mong bác sĩ có thể cung cấp cho em thông tin đầy đủ hơn về giá bọc răng sứ ...
Quy trình bọc răng sứ Cercon đúng chuẩn Quốc tế
Quy trình bọc răng sứ Cercon có gì đặc biệt hơn các loại hình răng sứ đang sử dụng hiện nay hay không? Xin mời tất cả khách hàng cùng tham khảo quy trình làm răng an toàn để hiểu rõ hơn nếu đang có nhu cầu sử dụng dịch vụ và lựa chọn răng sứ Cercon HT. Bọc răng ...
Chia sẻ bài viết:
Dịch vụ nổi bật
Chuyên gia tư vấn
- Bọc răng sứ loại nào tốt nhất và Bền nhất hiện nay?
- Bọc răng sứ là gì ? - Quy trình được thực hiện như thế nào ?
- Bọc răng sứ có đau không? - Tư vấn từ chuyên gia nha khoa
- Các bước trong quy trình bọc răng sứ thẩm mỹ - An toàn chuẩn Bộ Y tế
- Chi phí bọc răng sứ bao nhiêu tiền? - Mức chi phí rẻ nhất tại Hà Nội
- Răng sứ có tuổi thọ bao lâu và sử dụng được bao lâu bạn có biết?
Tin nha khoa liên quan
- Bị lở miệng làm sao hết và không còn phiền phức?
- Nắm rõ đặc điểm của răng toàn sứ Emax để có sự lựa chọn tốt nhất
- Exploring Virtual Sports Betting Options at 1xbet Egypt
- Quá trình mài răng như thế nào là đảm bảo nhất?
- Mài răng có ảnh hưởng gì không đối với sức khỏe của răng?
- Mongol Treasure: Обзор Слота, Характеристики, Бонусы